The Hidden Power of a Well-Aligned Smile: How Straight Teeth Support Healthier Gums, Easier Cleaning, Better Function, and Brighter Confidence
- Dec 7, 2025
- 5 min read
A healthy smile is more than straight teeth or a bright appearance, it’s a reflection of the balance between gum health, tooth function, oral hygiene, and overall wellbeing. Many people think of orthodontic treatment as something purely cosmetic, but the benefits reach far deeper than aesthetics. Proper alignment plays a crucial role in maintaining gum health, preventing tartar build-up, supporting a correct bite, reducing excessive tooth wear, and laying the foundation for long-lasting whitening results.
This comprehensive guide explains how orthodontics, professional cleaning, and whitening can work together to enhance not just how your smile looks, but how it functions and feels every day.

1. How Tooth Alignment Directly Affects Gum Health
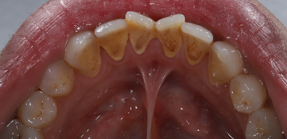
When teeth are crowded, overlapping, or rotated, they create narrow, irregular spaces that are difficult to reach with a toothbrush or floss. These areas become ideal environments for plaque to accumulate. Over time, plaque hardens into tartar a mineralised deposit that irritates the gums and contributes to inflammation.
Straightening the teeth can dramatically improve gum accessibility.
When teeth sit in proper alignment:
The gum line is easier to clean
Plaque accumulation decreases
Tartar forms more slowly
The gums experience less irritation
Inflammation becomes easier to control
From a biological standpoint, gums thrive best when plaque and bacteria can be removed efficiently. Orthodontic treatment encourages this by creating uniform spacing, allowing floss and brushing to be more effective.
Gum health isn’t only about avoiding bleeding or swelling it’s about preserving the tissues that support your teeth for life. Alignment is a major part of this foundation.
2. The Connection Between Straight Teeth and Reduced Tartar Build-Up
Even individuals with excellent brushing technique can struggle with plaque removal in misaligned areas. Crowded teeth create traps where bacteria flourish and minerals from saliva harden the plaque into tartar.

Tartar is more than a cosmetic concern. Once it forms:
It cannot be removed at home
It increases gum irritation
It contributes to gum recession
It accelerates periodontal concerns in susceptible individuals
By aligning the teeth, the surfaces become smoother and more accessible. This leads to a noticeable reduction in tartar accumulation after professional cleaning. Patients often report that their hygiene appointments become more comfortable, quicker, and feel cleaner for longer after achieving alignment.
Tartar management becomes significantly easier when teeth no longer overlap or hide difficult-to-clean surfaces.
3. Easier, More Effective Daily Cleaning
Straight teeth are much easier to maintain. When each tooth sits in a correct position, angled properly and evenly spaced, brushing reaches more surfaces and floss glides naturally between contacts.
Improved alignment supports:
Better plaque control at home
More thorough removal of bacteria
Reduced bad breath
Lower risk of decay between teeth
Improved gum attachment and stability
Orthodontic treatment therefore makes oral hygiene not only more effective but also more intuitive. Patients often describe the experience as “cleaner for longer” or “easier to maintain” a testament to how alignment supports daily habits.
Cleanliness is not only a matter of effort; it’s a matter of access. Alignment provides that access.
4. The Role of Alignment in Bite Balance and Jaw Comfort
While aesthetics often bring people to orthodontics, comfort is what keeps them invested. A misaligned bite known as malocclusion can place uneven pressure on certain teeth or force the jaw into an imbalanced position during chewing.
Over time, this may lead to:
Jaw tension
Headaches
Clicking or discomfort in the temporomandibular joint (TMJ)
Uneven wear on certain teeth
Chipping or cracking from excessive pressure
By guiding the teeth into a balanced bite, orthodontic treatment helps redistribute chewing forces more evenly. This protects individual teeth from overloading and supports jaw muscles and joints in functioning more naturally.
Balanced function is a major component of long-term oral health and alignment is a key part of achieving it.
5. Preventing Tooth Wear and Long-Term Damage
Teeth are designed to work together in harmony. When alignment is off, certain teeth may make contact earlier or more forcefully than others.
This premature wear can cause:
Flattened or shortened teeth
Tooth sensitivity
Loss of enamel over time
Increased vulnerability to fractures
A change in the smile’s appearance
Alignment helps ensure that teeth meet properly during chewing and speaking. This reduces mechanical stress and protects enamel — the tooth’s natural armour.
Protecting enamel is essential for long-term oral health and for maintaining a smile that ages gracefully. Orthodontics plays a central role in this protective process.
6. The Aesthetic Benefits: A Smile That Reflects Your Confidence
While the health benefits of orthodontics are profound, the aesthetic outcome also holds meaningful value. A straight, balanced smile can improve facial harmony and boost confidence in social and professional settings.

Patients often report:
Feeling more comfortable smiling in photos
A sense of renewed confidence
Improved ease in speaking and laughing
Motivation to maintain better oral hygiene
Straight teeth simply look more uniform, symmetrical, and harmonious with the facial structure. The psychological impact of feeling confident in one’s smile should not be underestimated it influences behaviour, body language, and even emotional wellbeing.
7. Why Straight Teeth Enhance Whitening Results
Whitening is most effective on teeth that are clean, smooth, and evenly aligned. Misaligned teeth often show shadows and uneven light reflection, making whitening appear patchy or less intense in certain areas.

When teeth are aligned:
Light reflects evenly across the smile
Whitening products reach all visible surfaces more effectively
Shade improvement looks more uniform
Results appear more natural and harmonious
Professional whitening works best when the teeth are free from tartar and properly aligned, allowing the whitening agent to contact the enamel consistently.
For individuals seeking a bright, polished smile, a combination of alignment, hygiene treatment, and whitening creates the most predictable and aesthetically pleasing results.
8. How Orthodontics, Cleaning, and Whitening Work Together for Comprehensive Oral Health
Each treatment plays a unique role:
Orthodontics
Improves function, stability, gum health, and aesthetics by aligning the teeth into an optimal position.
Professional Cleaning (Scale and Polish)
Removes plaque and tartar that compromise gum health and prepares the teeth for healthier whitening outcomes.
Whitening
Brightens the natural shade of the enamel and enhances confidence when the teeth are already aligned and healthy.
Together, these treatments:
Support a healthy foundation
Improve daily hygiene efficiency
Enhance chewing comfort and bite stability
Protect enamel from long-term damage
Create a natural, balanced, and radiant smile
This combination allows patients to enjoy both health-related and cosmetic benefits that last far beyond the treatment period.
9. A Healthier Smile Is a Lifelong Investment
Straight teeth are not simply a cosmetic luxury they are a functional, biological, and health-oriented advantage. By improving how the teeth fit together and how easily they can be cleaned, orthodontic treatment supports healthier gums, reduces tartar, and protects the long-term stability of the smile.

When combined with routine hygiene care and safe, professional whitening, the result is a radiant, confident smile that feels as good as it looks.
A well-aligned smile is easier to maintain, more comfortable to use, and better protected against the everyday challenges of chewing, speaking, and aging.


Comments